Foto do Dr. João

Dr. João

Odontologia Estética Premium • Recife

Lentes de contato dentais • Reabilitação com naturalidade

Atendimento com hora marcada • padrão internacional e laboratório próprio. Sem diagnóstico online — cada sorriso é único.

Sorriso natural, feito sob medida

Lentes com padrão internacional, desenhadas e produzidas pelo próprio Dr. João.

📞 Agendar avaliação Ver casos e bastidores
Laboratório próprio Padrão internacional Produção autoral de lentes

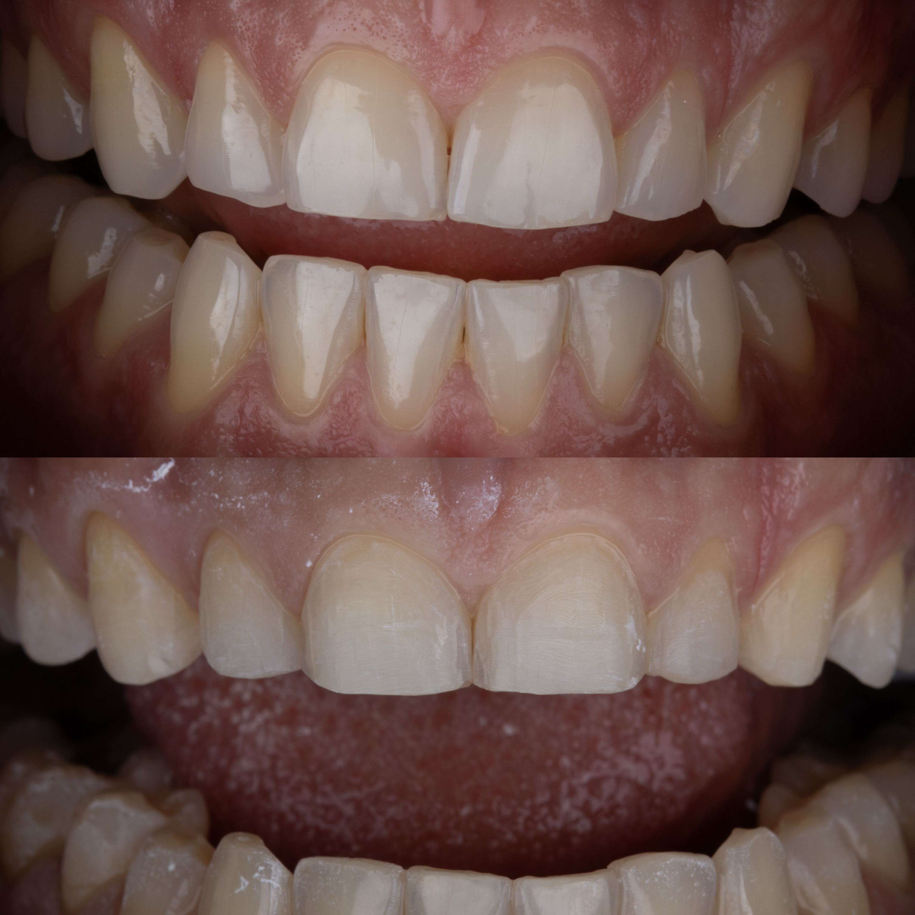
Antes & Depois (autorizados)

Naturalidade e precisão em cada detalhe.*

Reabilitação com lentes – alinhamento e harmonia
Harmonia de forma e proporção com preservação de estrutura dental.*
Lentes com efeito natural – textura e brilho controlados
Textura e brilho controlados para efeito natural sob luz real.*

* Imagens com autorização. Resultados variam conforme avaliação individual.

Dúvidas comuns

“Vai ficar artificial?”

Planejamento digital + mockup para aprovar o desenho antes. Nosso foco é naturalidade.

“Quanto tempo leva?”

Etapas claras: avaliação → planejamento → prova → colagem. Cronograma apresentado na primeira consulta.

“E a manutenção?”

Acompanhamento periódico e orientações simples para longevidade do resultado.

“Vai desgastar muito meus dentes?”

Não. Trabalhamos de forma conservadora e personalizada; na maioria dos casos o preparo é mínimo ou até inexistente, conforme indicação clínica e avaliação individual.

Exemplo ilustrativo de desgaste mínimo para lentes
Demonstração ilustrativa. Detalhes e variações são explicados na avaliação.

Como funciona

1) Avaliação

Conversa e escaneamento quando indicado para entender objetivos e anatomia.

2) Planejamento

Desenho digital e mockup para ver o resultado antes de avançar.

3) Prova e colagem

Ajustes finos e colagem das lentes com orientação completa de cuidados.

🦷

Pronto para um sorriso natural e elegante?

Clique abaixo e fale no WhatsApp. Atendimento com hora marcada.

📞 Falar com o Dr. João
📲 Agendar pelo WhatsApp Ver casos